Orchid Image SDOHybridList
aphrodite
Orchid ID
NF250
Orchid Cross Name Full
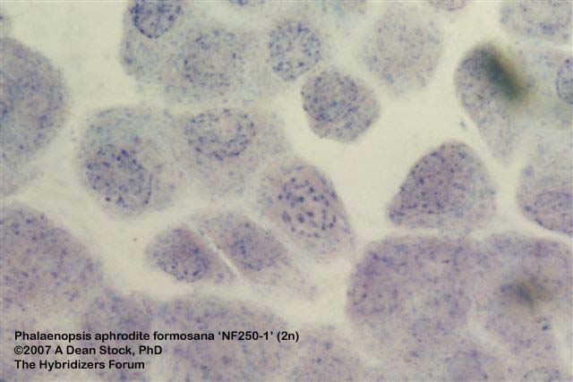
Phalaenopsis aphrodite 'NF250-1'
Orchid Cross Parents
Phal. aphrodite ('Snow Summit' HCC/AOS X 'Angel' HCC/AOS)
Cultivar grown by Robert Bedard and chromosome count verified by Dr. A. D. Stock. This line of aphrodite produced by Norman's Orchids is confirmed to be a clean diploid line.
Pod Parent:
Pollen Parent:

Orchid Details:
Orchid Genus: 
Phalaenopsis
Orchid Grex/Cultivar: 
aphrodite 'NF250-1'
Orchid Pod Parent: 
Phal. aphrodite
Orchid Pollen Parent: 
Phal. aphrodite 'Angel' HCC/AOS

Ploidy Data:

When available, information on Ploidy and Chromosome Counts.


Orchid Ploidy: 
Diploid
Orchid Ploidy Confirmed By: 
Dr. A.D Stock

Orchid Ploidy Notes
From Norman's Orchids NF250 cross, confirmed Diploid (2n).
Chromosome Photo:
Count